多克隆抗体

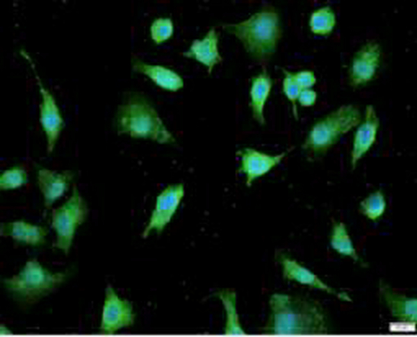
Anti GLUT4 polyclonal antibody

GLUT4抗体
Anti GLUT4 polyclonal antibodyGLUT4 is a member of GLUT family of transmembrane hexose transporters. It is an insulin receptor that mediates insulin-stimulated glucose transport in fat and muscle where it is predominantly expressed. In response to insulin stimulation, GLUT4 experienced translocation from trans-Golgi network to plasma membrane. The impairment of GLUT4 translocation is associated with diabetes.

Anti CD1b polyclonal antibody

CD1b抗体
Anti CD1b polyclonal antibodyThis gene encodes a member of the CD1 family of transmembrane glycoproteins, which are structurally related to the major histocompatibility complex (MHC) proteins and form heterodimers with beta-2-microglobulin. The CD1 proteins mediate the presentation of primarily lipid and glycolipid antigens of self or microbial origin to T cells. The human genome contains five CD1 family genes organized in a cluster on chromosome 1. The CD1 family members are thought to differ in their cellular localization and specificity for particular lipid ligands. The protein encoded by this gene localizes to late endosomes and lysosomes via a tyrosine-based motif in the cytoplasmic tail, and requires vesicular acidification to bind lipid antigens.

Anti UCN3 polyclonal antibody

UCN3抗体
Anti UCN3 polyclonal antibodyUrocortin 3 is a member of the sauvagine/corticotropin-releasing factor/urotensin I family. It is structurally related to the corticotropin-releasing factor (CRF) gene and the encoded product is an endogenous ligand for CRF type 2 receptors. In the brain it may be responsible for the effects of stress on appetite. In spite of the gene family name similarity, the product of this gene has no sequence similarity to urotensin II.

Anti NSE polyclonal antibody

NSE抗体
Anti NSE polyclonal antibodyNSE, also named as ENO2, belongs to the enolase family. Enolases are cytoplasmic glycolytic enzymes that may be involved in differentiation. The enolase has three isoenzymes, alpha, beta and gamma. The alpha form is expressed in most tissues, whereas the beta form is expressed in muscle tissue. The gamma enolase (ENO2), a homodimer, is primarily localized in neurons and neuroendocrine cells and is a cancer diagnostic marker for brain tumors (PMID:7520111). ENO2 plays a role in the glycolysis-related energy pathway and might be involved in higher metabolic activity during the day than at night, at least in part.

Anti CDK2 polyclonal antibody

CDK2抗体
Anti CDK2 polyclonal antibodyCDK2(Cyclin-dependent kinase 2) is also named as CDKN2 and belongs to the protein kinase superfamily,CMGC Ser/Thr protein kinase family, CDC2/CDKX subfamily.It is involved in the control of the cell cycle,essential for meiosis, but dispensable for mitosis.It has 2 isoforms produced by alternative splicing.

Anti CDK5 polyclonal antibody

CDK5抗体
Anti CDK5 polyclonal antibodyCyclin-dependent kinase 5 (CDK5), belongs to the cyclin-dependent kinase family, is a proline-directed serine/threonine-protein kinase that essential for neuronal cell cycle arrest and differentiation and may be involved in apoptotic cell death in neuronal diseases by triggering abortive cell cycle re-entry. CDK5 predominantly expressed in neurons where it phosphorylates both high molecular weight neurofilaments and microtubule-associated protein tau.

Anti CDKN1A polyclonal antibody

CDKN1A抗体
Anti CDKN1A polyclonal antibodyCDKN1A (p21, CIP1, WAF1) is a cyclin-dependent kinase inhibitor. CDKN1A binds to and inhibits the activity of cyclin-CDK2 or -CDK4 complexes, and thus functions as a regulator of cell cycle progression at the G1 phase. The expression of CDKN1A is induced by wild-type but not mutant p53 protein, through which CDKN1A mediates the p53-dependent cell cycle G1 phase arrest in response to a variety of stress stimuli. CDKN1A can interact with proliferating cell nuclear antigen (PCNA), and plays a regulatory role in S phase DNA replication and DNA damage repair. CDKN1A was reported to be specifically cleaved by CASP3-like caspases, which thus leads to a dramatic activation of CDK2, and may be instrumental in the execution of apoptosis following caspase activation. Two alternatively spliced variants, which encode an identical protein, have been reported.

Anti DAO polyclonal antibody

DAO抗体
Anti DAO polyclonal antibodyD-amino acid oxidase (DAO),with MW of 39 kDa, is a flavoprotein which uses flavin adenine dinucleotide as its prosthetic group. Its substrates include a wide variety of D-amino acids, but it is inactive on the naturally occurring L-amino acids. DAO may play a role in the pathophysiology of schizophrenia and act as a detoxifying agent which removes D-amino acids that accumulate during aging.

Anti DKK1 polyclonal antibody

DKK1抗体
Anti DKK1 polyclonal antibodyDKK1, also named a SK and Dickkopf-1, belongs to the dickkopf family. DKKs play an important role in vertebrate development, where they locally inhibit Wnt regulated processes such as antero-posterior axial patterning, limb development, somitogenesis and eye formation. In the adult, Dkks are implicated in bone formation and bone disease, cancer and Alzheimer disease. SDS-PAGE and Western blot analysis demonstrated that DKK1 is expressed as a 35-kD doublet protein, which is larger than the deduced molecular mass of 26 kD. Sometime DKK1 is expressed as a 42- to 50-kD secreted protein, with little change observed after glycanase treatment.

Anti DKK2 polyclonal antibody

DKK2抗体
Anti DKK2 polyclonal antibodyhe Wnt genes are a group of well conserved, cysteine-rich secreted glycoproteins that are required for numerous develop-mental processes including embryogenesis, asymmetric cell division and central nervous system (CNS) patternins. Wnt association with the seven membrane spanning receptor Frizzled, activates Dishevelled, which downregulates glycogen synthase kinase (GSK) through serine phosphorylation, causing the accumulation of b-Catenin and subsequent regulation of developmentally significant Wnt target genes. The Dickkopf family of secreted inhibitors of Wnt signaling ensures proper morphological development by antagonizing different stages of the Wnt cascade. Dkk-2 (Dickkopf-2) is a 259-amino acid secreted protein that is composed of an N-terminal signal peptide and 2 conserved cysteine-rich domains, which are separated by a 50-55-amino acid linker region.
沪ICP备15039594号-4
在线客服
专业的客服团队,欢迎在线资讯
客服时间: 周一至周五9:00 - 18:00