多克隆抗体

Anti BID polyclonal antibody

BID抗体
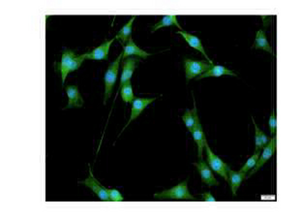
Anti BID polyclonal antibodyBID, also named as p22 BID, can be cleaved into p11 BID, p13 BID and p15 BID. It is pro-apoptotic molecules. The major proteolytic product p15 BID allows the release of cytochrome c. BID-L, BID-EL and BID-ES induce ICE-like proteases and apoptosis. BID-S does not induce apoptosis. BID counters the protective effect of Bcl-2. (PMID:14583606)

Anti BACE1 polyclonal antibody

BACE1抗体
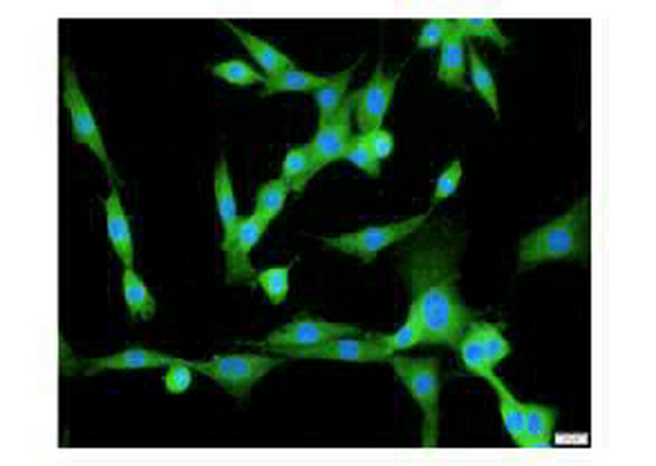
Anti BACE1 polyclonal antibodybeta-secretase, encoded by BACE1(beta-stie amyloid beta A4 precursor protein-cleavage enzyem1) gene, is a neuron-specific membrane-associated protease that participate in the two step proteolytic processing of the APP. Cleaves at the N-terminus of the A-beta peptide sequence, between residues 671 and 672 of APP, leads to the generation and extracellular release of beta-cleaved soluble APP, and a corresponding cell-associated C-terminal fragment which is later released by gamma-secretase. It has a high expression in the brain and pancreas. This protein has 6 isoforms produced by alternative splicing. BACE1 can be detected with different molecular weight: 42-56kD (prozymogen and isoforms), 65-75 (glycosylated forms) and 160kDa (dimer) (PMID:22741101,21795680).

Anti CPT1A polyclonal antibody

CPT1A抗体
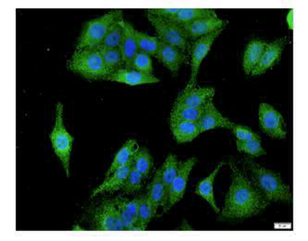
Anti CPT1A polyclonal antibodyCPT1A, also named as CPT1, CPT1-L and L-CPTI, belongs to the carnitine/choline acetyltransferase family. It is Localized Chromosome 11q13.1-2. Carnitine palmitoyltransferase (CPT) deficiencies are common disorders of mitochondrial fatty acid oxidation. The CPT system is made up of two separate proteins located in the outer (CPT1) and inner (CPT2) mitochondrial membranes. CPT1A is an active forms of related liver-type carnitine palmitoyltransferase I. (PMID: 11001805). CPT1A deficiency presents as recurrent attacks of fasting hypoketotic hypoglycemia. (PMID: 15363638). This antibody can bind the close sequences genes.

Anti CREB polyclonal antibody

CREB 抗体
Anti CREB polyclonal antibodyCREB1, also named as CREB, belongs to the bZIP family, containing one bZIP domain and one KID (kinase-inducible) domain. This protein binds the cAMP response element (CRE), a sequence present in many viral and cellular promoters. CREB stimulates transcription on binding to the CRE. This protein is stimulated by phosphorylation. Phosphorylation of both Ser-133 and Ser-142 in the SCN regulates the activity of CREB and participates in circadian rhythm generation. Phosphorylation of Ser-133 allows CREBBP binding. Transcription activation is enhanced by the TORC coactivators which act independently of Ser-133 phosphorylation. CREB1 is sumoylated by SUMO1. Sumoylation on Lys-304, but not on Lys-285, is required for nuclear localization of this protein. Sumoylation is enhanced under hypoxia, promoting nuclear localization and stabilization. Defects in CREB1 may be a cause of angiomatoid fibrous histiocytoma (AFH), a distinct variant of malignant fibrous histiocyto

Anti MCSF polyclonal antibody

MCSF抗体
Anti MCSF polyclonal antibodyColony stimulating factor-1 (CSF-1) is a homodimeric glycoprotein that humorally regulates the proliferation and differentiation of mononuclear phagocytic cells and locally regulates cells of the female reproductive tract. Alternative splicing of the human CSF-1 mRNA leads to alternative expression of the CSF-1 homodimer as a secreted glycoprotein or as a membrane-spanning molecule with cell surface biological activity. CSF-1 is predominantly secreted as highly sulfated species of 375- and 250-kDa with a smaller amount of a 100-kDa species. The three predominant CSF-1 species were shown to be an 80-kDa homodimer, an 80-kDa/50-kDa heterodimer, and a 50-kDa homodimer. (PMID: 1733926) This antibody could recognieze 60 kDa, 48 kDa, 29 kDa isoforms.

Anti CD200 polyclonal antibody

CD200抗体
Anti CD200 polyclonal antibodyCD200 (OX-2 antigen) is a new type I immunoglobulin superfamily membrane glycoprotein widely expressed in multiple cell types, including B cells, a subset of T cells, dendritic cells, endothelial cells, and in the peripheral and central nervous system. In recent years, it is found that the interaction between CD200 and CD200R can transmit inhibitory signals to reduce the activity of myeloid cells and change their migration. CD200 can be used as an immune tolerance signal in immune diseases and rejection. Some of its related molecules also play a role in immune regulation.

Anti CD147 polyclonal antibody

CD147抗体
Anti CD147 polyclonal antibodyBSG, also named as 5F7, Basigin, EMMPRIN, TCSF and CD147, plays pivotal roles in spermatogenesis, embryo implantation, neural network formation and tumor progression. It stimulates adjacent fibroblasts to produce matrix metalloproteinases (MMPS).CD147 may target monocarboxylate transporters SLC16A1, SLC16A3 and SLC16A8 to plasma membranes of retinal pigment epithelium and neural retina. It seems to be a receptor for oligomannosidic glycans. CD147 is a receptor of CypA, inducing matrix metalloproteinase expression and mediating the degradation of the extracellular matrix, plays an important role in tumorigenesis and invasion in oral cancer. It has been considered as an objective and effective marker to predict invasion and prognosis in various cancers.

Anti CAT polyclonal antibody

CAT抗体
Anti CAT polyclonal antibodyCatalase belongs to the catalase family. CAT occurs in almost all aerobically respiring organisms and serves to protect cells from the toxic effects of hydrogen peroxide. CAT promotes growth of cells including T-cells, B-cells, myeloid leukemia cells, melanoma cells, mastocytoma cells and normal and transformed fibroblast cells. CAT catalyzes the reaction: 2 H2O2 = O2 + 2 H2O. Defects in CAT are the cause of acatalasia (ACATLAS) which also known as acatalasemia.

Anti Caspase 1 polyclonal antibody

Caspase 1抗体
Anti Caspase 1 polyclonal antibodyCASP1(caspase-1) is also named as IL1BC, IL1BCE and belongs to the peptidase C14A family. It is a cysteine protease that regulates inflammatory processes through its capacity to process and activate the interleukin-1-beta (IL1B), IL18, and IL33 precursor proteins. The active caspase-1 can increase cellular membrane permeability and intracellular calcium levels, which facilitates lysosome exocytosis and release of host antimicrobial factors and microbial products(PMID:21804020). It has 5 isoforms produced by alternative splicing.

Anti CCND1 polyclonal antibody

CCND1抗体
Anti CCND1 polyclonal antibodyCCND1 (cyclin D1), also known as PRAD1 or BCL1, belongs to the highly conserved cyclin family, whose members are characterized by a dramatic periodicity in protein abundance throughout the cell cycle. CCND1 forms a complex with and functions as a regulatory subunit of CDK4 or CDK6, whose activity is required for cell cycle G1/S transition. The CCND1 gene, located on 11q13 has been reported to be overexpressed in mantle cell lymphoma (MCL) due to the chromosomal translocation. CCND1 has been shown to interact with tumor suppressor protein Rb and the expression of this gene is regulated positively by Rb. Over-expression of CCND1 is known to correlate with the early onset of cancer and risk of tumor progression and metastasis.
沪ICP备15039594号-4
在线客服
专业的客服团队,欢迎在线资讯
客服时间: 周一至周五9:00 - 18:00